《中国实用神经疾病杂志》官方网站
国际标准刊号(ISSN):1673-5110 国内统一刊号(CN):41-1381/R
您的位置:首页 > 论著

局限性小脑蚓部病毒性脑炎145例临床分析

作者 / Author:薛文俊,高延伦,许春阳,王苗苗,王红旭,石伟纲,杜迎春,秦得

关键词 / KeyWords:

病毒性脑炎,小脑蚓部,临床表现,抗病毒,小脑共济失调,成人
局限性小脑蚓部病毒性脑炎145例临床分析
薛文俊  高延伦  许春阳  王苗苗  王红旭  石伟纲  杜迎春  秦得营  李卫东  李小磊  马蕾亚
平顶山市第一人民医院神经内三科,河南 平顶山 467000
作者简介:薛文俊,主任医师。研究方向:脑血管病、眩晕、头晕、中枢神经系统感染性疾病。Email:gaoyl0319@163.com
摘要  目的  探讨局限性小脑蚓部病毒性脑炎的临床特点和诊治,以提高对该病的认识。方法  回顾性分析145例诊断为局限性小脑蚓部病毒性脑炎患者的临床诊治过程。结果  对局限性小脑蚓部,多急性起病,好发于中老年人,以头晕、躯干姿势性平衡障碍为主要待征的患者,抗病毒治疗有效,预后良好。结论  局限性小脑蚓部病毒性脑炎可能是成人小脑炎的主要类型,应早识别、早干预。
关键词】  病毒性脑炎;小脑蚓部;临床表现;抗病毒;小脑共济失调;成人
中图分类号】  R512.3    【文献标识码】  A    【文章编号】  1673-5110(2018)01-0047-04  DOI:10.12083/SYSJ.2018.01.012
Clinical analysis on focal vermis cerebellitis in 145 adult cases
XUE Wenjun,GAO Yanlun,XU Chunyang,WANG Miaomiao,WANG Hongxu,SHI Weigang,DU Yingchun,QIN Deying,LI Weidong,LI Xiaolei,MA Leiya
Department of  Neurology,the First People's Hospital of Pingdingshan,Pingdingshan 467000,China
Abstract  Objective  To summarize the clinical features and therapy of the focal vermis cerebellitis in adults.Methods  The clinical data of 145 adults with cerebellitis was analyzed.Results  Elderly adults were commonly affected in the adult-onset cases.Acute onset and focal lesion were the major clinical features.Dizziness and postural ataxia were the main symptoms of adults with focal vermis cerebellitis.The antiviral drugs were effective and the prognosis was good.Conclusion  The focal vermis cerebellitis may be the main type of cerebellitis in adults.Early recognition and early antiviral treatment are beneficial.
Key words】  Encephalitis;Cerebellar Vermis;Clinical features;Antiviral therapy;Cerebellar ataxia;Adults
急性小脑炎又称作急性小脑性共济失调,以儿童青少年多见,成人发病较少[1],且原因不明,多表现为步态不稳、意向性震颤、言语障碍、肌张力低下、头痛等[2-3]。而关于仅表现为躯干性共济失调的局限性小脑蚓部脑炎国内尚无相关报道。本文对145例局限于小脑蚓部的病毒性脑炎患者的临床资料总结分析。
1  对象与方法
11  一般资料  2007-09-26—2017-11-16平顶山市第一人民医院神经内三科收治的145例诊断为小脑炎或病毒性小脑炎的患者。通过回顾性临床研究,对患者的临床表现,影像学资料及实验室检查、治疗经过等资料进行分析。
12  临床表现  (1)性别和年龄:145例患者中男57例,女88例,男女比例1:1.5;年龄12~86岁,平均56岁。10~40岁23例(15.9%),41~80岁118例(81.4%),>80岁4例(2.7%)。(2)起病形式和病程:145例患者均为急性起病;病程7 d~3个月,平均35 d。(3)前驱症状:35例(24.1%)患者于发病前1周左右有感染史,其中上呼吸道感染34例,腹泻1例。(4)临床症状:145例患者均以头晕、站立或行走不稳为首发症状。表现为站立或行走时,出现头晕与主观失衡,身体晃动,醉酒样,对周围环境如楼梯、街道、商场等高度敏感。无言语障碍及肢体麻木无力症状。部分患者还可伴随以下症状:恶心77例(53.1%),呕吐43例(29.7%),视物旋转32例(22.1%),头痛27例(18.6%),耳鸣6例(4.1%)。(5)神经系统体征:Romberg征阳性123例(84.8%),阴性13例(8.0%),未查9例(6.2%)。走“一”字步试验异常121例(83.4%),正常4例(2.8%),未查20例(13.8%)。眼球运动障碍46例(31.7%),其中水平眼震43例,旋转眼震1例,水平及旋转眼震同时存在2例。四肢共济运动检查基本正常。
1.3  辅助检查
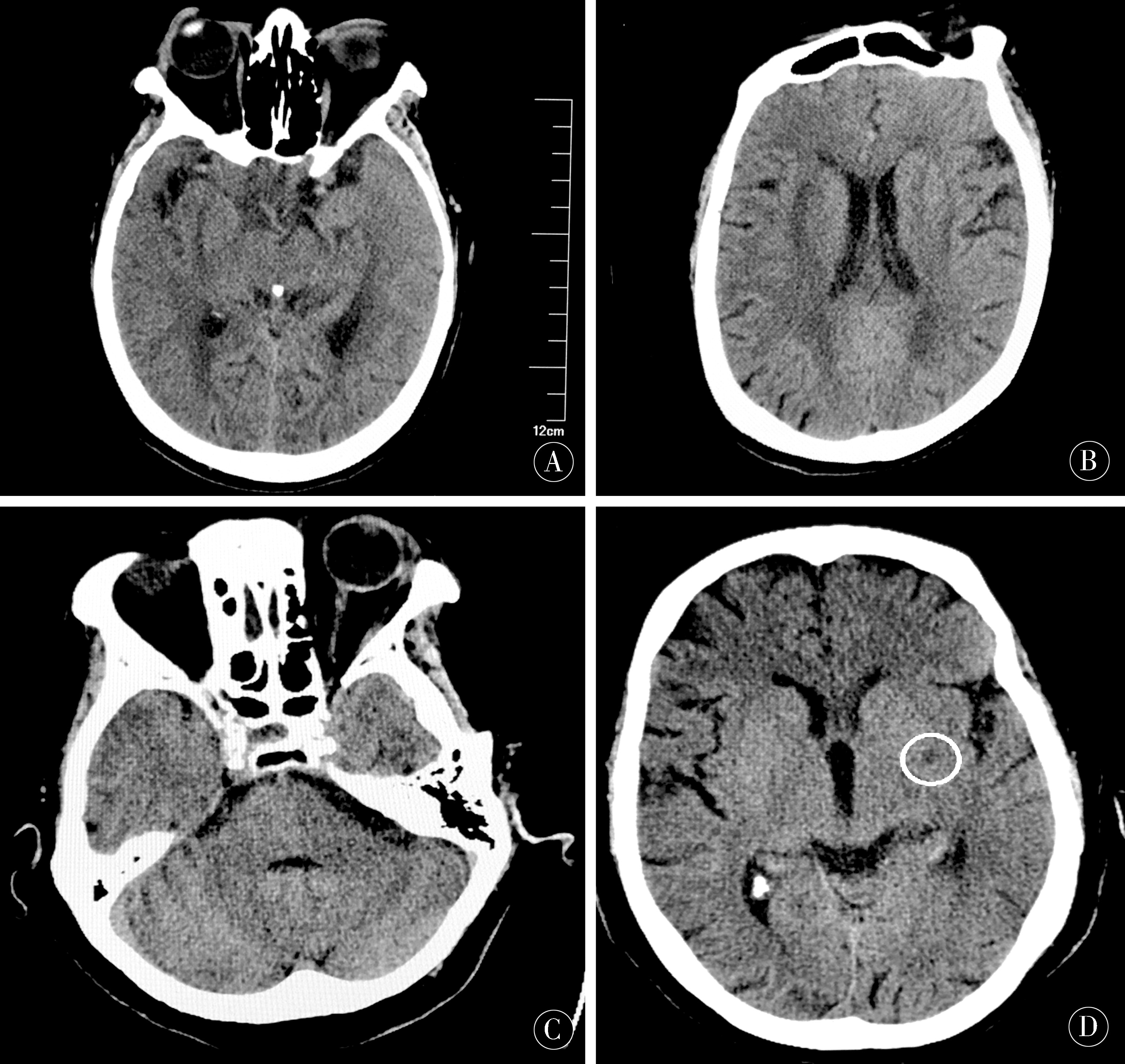
1.3.1  影像学检查:145例患者均行头部CT检查,正常126例(86.9%),异常19例(13.1%),主要表现为单侧基底节区腔隙性梗死6例,双侧基底节区腔隙性脑梗死4例,脑梗死6例,桥脑低密度灶2例。136例患者行MR或CTA检查,正常65例(47.8%),异常71例(52.2%),主要表现为腔隙性梗死27例,陈旧性梗死或缺血灶14例,脑白质脱髓鞘改变12例,脑萎缩6例,脑动脉硬化23例,颅内血管局部轻度狭窄16例,动脉瘤2例,垂体或额叶囊肿2例。CT或MR检查小脑部位均未见明显异常信号(图1~3)。
1.3.2  脑电图检查:145例患者中59例行常规脑电图检查,其中正常34例(57.6%),轻度异常25例(42.4%)。
1.3.3  实验室检查:脑脊液:本组64例行脑脊液检查,其中正常35例(54.7%),轻度异常29例(45.3%),主要表现为脑脊液压力升高6例(190~245 mmH2O,平均220 mmH2O),细胞计数轻度增高9例(6~28×106/L,平均11.5×106/L),蛋白轻度增高16例(0.452~2.0 g/L,平均0.764 g/L)。
1.4  治疗方法及预后  所有患者住院期间给予抗病毒药物阿昔洛韦0.5 g加入0.9%生理盐水中静滴,每8小时1次,治疗4~28 d,平均11 d。预后标准分为:痊愈:头晕、行走不稳感完全消失,已能参加工作和学习;明显好转:症状已大部分恢复,仅留有轻度头晕及不稳感,生活可自理;症状部分缓解:症状较发病前有一定改善,但仍有明显头晕、行走不稳,影响正常生活质量。
2  结果
所有患者出院时痊愈96例(66.2%),明显好转30例(20.7%),症状部分缓解19例(13.1%)。145例患者中首诊54例(37.2%),非首诊91例(62.8%),其中非首诊患者大多曾就诊省内外多家医院。出院时首诊患者痊愈43例(79.6%),明显好转9例(16.7%),症状部分缓解2例(3.7%);非首诊患者痊愈53例(58.2%),明显好转21例(23.1%),症状部分缓解17例(18.7%)。 此外我们对本组患者进行了电话随访:有效随访115例(79.3%),无效随访30例(20.7%,因电话停机或更换号码无法联系)。其中痊愈88例(76.5%),明显好转24例(20.9%),部分缓解2例(1.7%),症状无改善1例(0.9%)。首诊患者中随访50例,痊愈46例(92.0%),明显好转4例(8.0%);非首诊患者中随访61例,痊愈42例(68.9%),明显好转16例(26.2%),部分缓解2例(3.3%),症状无改善1例(1.6%)。
薛文俊10.jpg 
图1  A、B为患者1脑CT未见异常;C、D为患者2左侧基底节区梗死灶
 
薛文俊20.jpg 
图2  头颅MRI及MRA均未见明显异常
薛文俊30.jpg 
图3  脑磁共振示双侧脑室旁脑白质及半卵圆中心脱髓鞘改变、脑萎缩,MRA示脑动脉硬化性改变考虑双侧大脑后动脉P2段狭窄小脑部位未见明显异常改变
3  讨论
      文献报道[14-5],典型急性小脑炎好发于儿童,以1~5岁儿童居多,主要临床表现为急性发生的步态障碍、共济失调、眼球异常运动三大主征,其中步态障碍是必不可少的症状,几乎所有患者均出现,多见于小脑蚓部受损;其余两项发生率为40%~50%,表现为肢体的共济失调、水平性眼震,同时伴肌张力减低、腱反射减弱或消失及小脑性语言(构音不清或爆发性语言等),病变定位以小脑半球为主[6]。本组患者多为成人,41~80岁118例(81.4%),临床表现主要为头晕、姿势性共济失调为主,站立不稳,有强烈倾倒感,Romberg征阳性,行走时步幅加宽、左右摇摆、步态蹒跚,直线行走不能,呈典型醉汉样步态,而指鼻试验、跟膝胫试验及轮替试验无特异性改变,眼震不明显,语言未见异常。这与文献[7]报道以半球为主急性小脑炎特点不相符,故病变多位于以小脑蚓部损害为主。
      急性小脑炎的病因目前仍不清楚,主要有两种学说[8]:(1)病毒或病原体直接感染[9]:多数学者专家认为与上呼吸道感染相关,其中约有半数患者有前驱病毒感染病史[2-310]。病毒可以经呼吸道、消化道或其他途径感染并通过血液循环、血脑脊液屏障直接进入中枢神经系统导致小脑实质急性炎性损害[11];也可表现为病毒长期的潜伏感染于中枢神经系统中,在机体遭受内外因素影响下被活化,引发急性小脑炎性损害。(2)病毒或病原体侵袭后引起自身免疫反应导致小脑炎症。本组患者急性起病,抗病毒治疗有效,部分患者的脑脊液检查,仅少数有轻度异常但无特异性,根据无外伤、中毒等病史特点、MRI检查无特殊异常、改善脑血管治疗无明显效果等,可排除其他疾病,因此目前考虑定性诊断为病毒性炎性改变[12]。本组患者病变较局限,145例患者中仅35例于发病前1周左右有感染史,因此考虑发病原因是否与病毒长期潜伏感染被激活或系免疫反应所致,有待进一步探讨。
      本组患者住院期间均使用阿昔洛韦抗病毒治疗,遵循早期、足量、个体化治疗原则。出院时病情均有不同程度好转,痊愈率达66.2%,其中首诊患者痊愈率(79.6%)高于非首诊患者(58.2%)。此外电话随访结果显示首诊患者痊愈率达92.0%,高于非首诊患者(68.9%)。考虑与非首诊患者前期主要以改善循环药物应为主,未能及时抗病毒治疗和抗病毒疗程不足有关,因此早期识别,早期干预对本病预后尤为重要。
      本组患者因条件所限未能进行病毒学、血清学、免疫学及前庭试验等方面的检查,虽然大多数患者做了头颅磁共振检查,但缺乏针对小脑部位的相关检查,未能在影像学上观察到小脑蚓部是否有异常。此外,我们在查阅国内外小脑炎相关文献过程中并未发现局限于小脑蚓部病毒性炎症的相关报道,并且文献中报道的小脑炎多见于儿童,与本组病例多见于中老年不符,这些都让我们困惑不解。本文只是对近10年来我科诊治的此类病人的一种客观描述,以及我们根据这些病例特点进行的一些假设,尚有许多不足之处,有待进一步完善。(本文承蒙李建章教授、韩雄教授的指导,特此致谢。)
4  参考文献
[1]  VAN SAMKAR A,POULSEN M N F,et al.Acute cerebellitis in adults:a case report and review of the literature[J].BMC Res Notes,2017,10(1):610.
[2]  伍思婷,徐全刚,林佳才.成人急性小脑共济失调7例临床分析[J].中国神经免疫学和神经病学杂志,2015,22(3):219-220.
[3]  KORNREICH L,SHKALIM-ZEMER V.Acute cerebellitis in children:a many-faceted disease[J].Child Neurol,2016,31(8):991-997.
[4]  曾宜斌,李霖.急性小脑炎26例临床分析[J].重庆医学,2008,37(14):1 595-1 596.
[5]  GÖKÇE Ş,KURUGOL Z,ASLAN A.A Rare Cause of Child-hood Cerebellitis-Influenza Infection:A Case Report and Systematic Review of Literature[J].Case Rep Pediatr,2017,2017:4039 358.
[6]  吴江,贾建平.神经病学[M].北京:人民卫生出版社,2015:51.
[7]  GOSALAKKAL J A.Epstein-Barr Virus cerebellitis presen-ting as obstructive hydrocephalus[J].Clin Pediatr (Phila),2001,40(40):279-231.
[8]  朱超霞,陈晓阳,秦灵芝,等.急性小脑炎9例分析[J].河南医学研究,2017,26(8):1 407-1 408.
[9]  AJMI H,GAHA M,MABROUK S,et al.Pseudotum-oral acute cerebellitis associated with mumps infection in a child[J].World J Clin Cases,2017,5(8):340-343.
[10]  KLOCKGETHER T,DLLER G,WLLNER U,et al,Cerebellar encephalitis in adults[J].J Neurol,1993,240(1):17-20.
[11]  GEURTEN C,DE BILDERLING G,NASSOGNE M C,et al.Pseudotumoral cerebellitis with acute hydrocephalus as a manifestation of EBV infection[J].Rev Neurol,2017,3 787(16):30 361-73 036.
[12]  MOSES H,NAGEL MA,GILDEN D H.Acute cerebellar ataxia in a 41 year old woman[J].Lancet Neurol,2006,5(11):984-988.
(收稿2017-12-16  修回2018-01-03)
本文编辑:关慧

本文引用信息:薛文俊,高延伦,许春阳,王苗苗,王红旭,石伟纲,杜迎春,秦得营,李卫东,李小磊,马蕾亚.局限性小脑蚓部病毒性脑炎145例临床分析[J].中国实用神经疾病杂志,2018,21(1):47-50. 

相关文章 / Related articles

    无相关信息
所属栏目:论著
分享本页至: